3D-печать для эстетической стоматологии

3D-печать для эстетической стоматологии
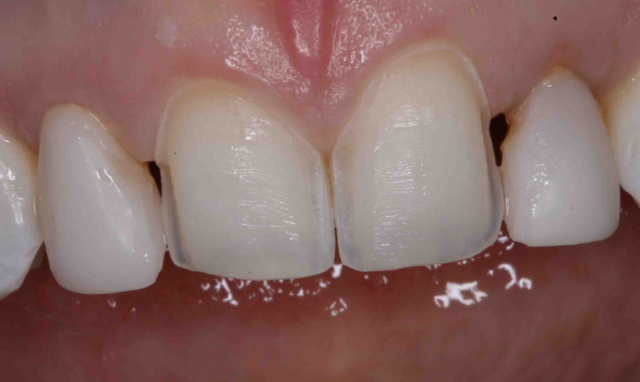
Мы — команда Smile Studio в Москве, где 3D-печать стоматология является одним из ключевых направлений нашей работы как лаборатории, выполняющей заказы клиник и врачей. В нашей практике мы изготавливаем протезы из диоксида циркония, что позволяет обеспечить высокую точность и эстетическую привлекательность зубных протезов.Как специалисты по зуботехническому производству, мы понимаем важность точной посадки и прилегания протезов, их совместимости с имплант-системами, а также значимость соблюдения сроков изготовления и логистики. Мы работаем по заказам клиник и врачей, обеспечивая обмен файлами в форматах STL/PLY, выбор оптимального оттенка по системам Vita/3D-Master, и предоставляя подробную документацию, включая паспорт изделия. Наша цель — обеспечить высокое качество протезов, созданных с помощью аддитивных технологий и цифровой стоматологии, для успешного протезирования зубов и ортодонтической техники, учитывая также особенности зубных имплантатов и стоматологического протезирования. Чтобы начать работу над вашим проектом, вы можете оформить задание в личном кабинете, указав все необходимые детали, включая систему имплантов и артикулятор.

Преимущества 3D-печати в стоматологии

Наша лаборатория использует передовые технологии, включая 3D-печать, для создания высококачественных зубных протезов.

Быстрое протезирование

Использование 3D-печати в стоматологической лаборатории позволяет ускорить этапы изготовления протезов. Это достигается за счет автоматизации процесса и точности 3D-моделирования.

  • Сокращение времени изготовления протезов
  • Увеличение точности и качества протезов
  • Возможность создания сложных протезов с высокой точностью

Точное моделирование

Точное моделирование — одно из ключевых преимуществ 3D-печати в стоматологии. Мы можем создавать точные модели зубов и протезов, что позволяет добиться идеального прилегания и эстетики.

Важно: Для достижения наилучших результатов необходимо использовать высококачественные STL/PLY-файлы.
Преимущество Описание
Точное моделирование Возможность создания точных моделей зубов и протезов
Быстрое протезирование Сокращение времени изготовления протезов

«3D-печать революционизировала нашу работу, позволяя создавать высококачественные протезы с высокой точностью и скоростью», — говорит Жиленко Евгений Александрович, Хирург-имплантолог.

Загрузите файлы и начните работу с нашей лабораторией, чтобы мы могли приступить к работе над вашим заказом. Мы работаем с основными имплант-системами и гарантируем высокое качество наших протезов.

Мифы о 3D-печати

Мы — зуботехническая лаборатория, работаем по заказам клиник и врачей через личный кабинет, используя технологии 3D-печати для создания идеальных зубных протезов. Наша лаборатория принимает заказы в форматах STL/PLY и совместима с основными имплант-системами.

Дороговизна

Одним из распространенных мифов о 3D-печати является ее дороговизна. Однако, с развитием технологий, стоимость 3D-печати значительно снизилась, сделав ее более доступной для стоматологических лабораторий. Мы используем технологии Exocad/Exoplan и CAD/CAM для создания высокоточных моделей.

Совет: при выборе лаборатории учитывайте не только стоимость, но и качество изделий и сроки изготовления.
Например, наши сроки изготовления варьируются от 3 до 14 дней, в зависимости от сложности изделия.

Недостаточная точность

Другим мифом является недостаточная точность 3D-печати. Однако, современные 3D-принтеры способны создавать модели с высокой точностью, что особенно важно в стоматологии. С помощью цифрового моделирования и аддитивных технологий мы создаём зубные протезы, точно совместимые с имплантационными системами.

Технология Точность
3D-печать до 0,1 мм
Фрезеровка до 0,05 мм

«3D-печать стоматология — это будущее нашей отрасли, оно позволяет создавать высокоточные и индивидуальные изделия», — говорит Жиленко Евгений Александрович, Хирург-имплантолог.

Оформите задание через форму, загрузите STL/сканы для начала работы над вашим проектом. Мы согласуем оттенок (Vita/3D-Master) и срок изготовления с вами.

Ошибки пациентов

Недостаточная информация

Одна из распространенных ошибок — недостаточная информация о пациенте. Это может привести к неправильному выбору материала или размера протеза.

  • Неправильный выбор цвета
  • Недостаточная информация о состоянии зубов
Важно: предоставлять полную информацию о пациенте, чтобы избежать ошибок.

Неверный выбор материала

Неверный выбор материала также может привести к проблемам. Мы работаем с различными материалами, включая цирконий и керамику.

Материал Преимущества
Цирконий Прочность, долговечность
Керамика Эстетика, биосовместимость
Совет: выбирать материал в зависимости от индивидуальных потребностей пациента. Оформите задание в личном кабинете и мы поможем вам создать идеальный зубной протез с использованием 3D-печати стоматология.
Ошибка Возможные последствия Как избежать
Неверный цвет Нестыковка с зубным рядом Используйте шкалу Vita/3D-Master
Отсутствие артикулятора Неточные контакты Указать артикулятор при оформлении
Плохой STL-файл Смещение или дефект Использовать 3Shape, Medit, iTero и т.п.

Как избежать ошибок при 3D-печати

Чтобы минимизировать погрешности в изготовлении, врачи должны заранее уточнять:

  • положение имплантов и особенности прикуса,
  • нужную окклюзию и наличие опор,
  • техническое задание (включая артикулятор и шаблоны).

Мы рекомендуем использовать DSD-планирование и виртуальный дизайн, чтобы добиться точного результата.

Написать нам в лабораторию

Для оформления заказа заполните форму, и мы обязательно свяжемся с вами

    Отзывы пациентов

    Заказы обрабатываются через страницу заказ-наряд для удобства клиник и врачей. Наша лаборатория оснащена современным технологическим стеком, включая Exocad/Exoplan, CAD/CAM, 3D-печать и фрезеровку.

    Удовлетворенность результатами

    Пациенты, получившие зубные протезы, изготовленные с помощью 3D-печати стоматология, отмечают высокую степень удовлетворенности результатами. Мы работаем по STL/PLY, принимаем заказы через личный кабинет и совместимы с основными имплант-системами.

    • Высокая точность и детализация
    • Эстетическая привлекательность
    • Комфорт и функциональность

    «3D-печать стоматология позволила нам создавать идеальные зубные протезы, которые соответствуют высоким требованиям наших пациентов», — говорит Жиленко Евгений Александрович, Хирург-имплантолог.

    Рекомендации

    Чтобы добиться наилучших результатов, мы рекомендуем врачам:

    1. Загрузить STL/сканы в личный кабинет
    2. Указать систему имплантов и артикулятор
    3. Согласовать оттенок (Vita/3D-Master) и срок изготовления
    Важно: точная передача данных и согласование всех деталей позволяет нам создавать протезы, которые идеально соответствуют потребностям пациентов. Загрузите STL или PLY-файлы и воспользуйтесь преимуществами цифрового протезирования для вашей клиники.

    Контроль качества на каждом этапе

    Мы реализуем многоступенчатую систему контроля качества: от первичной валидации STL-файлов до финальной проверки готового протеза. Это позволяет свести к минимуму вероятность ошибок и добиться максимального соответствия клиническим требованиям.

    Интеграция с программным обеспечением

    Для эффективного взаимодействия с врачами мы используем Exocad, Exoplan и другие решения, которые позволяют выполнять виртуальное моделирование, DSD-планирование и точно прогнозировать результат.

    Это облегчает этап согласования и минимизирует количество доработок.

    Аддитивные технологии

    Наша лаборатория выполняет заказы исключительно от стоматологических клиник и врачей через личный кабинет, обеспечивая цифровой обмен файлами и контроль качества.

    Роль цифровой стоматологии в протезировании

    Цифровая стоматология революционизировала процесс протезирования зубов. С помощью 3D-печати стоматология достигает новых высот в создании идеальных зубных протезов. Мы принимаем заказы в формате STL/PLY и работаем в тесном сотрудничестве с врачами для обеспечения точной и качественной работы.
    Важно: точность 3D-моделей имеет решающее значение для успешного результата.

    • Принимаем заказы через личный кабинет
    • Работаем с основными имплант-системами
    • Используем технологию 3D-печати для создания протезов

    Протезирование зубов

    Протезирование зубов с помощью 3D-печати стоматология позволяет создавать индивидуальные протезы, идеально подходящие пациентам. Наша лаборатория использует передовые технологии для изготовления протезов, которые не только функциональны, но и эстетически привлекательны.

    «3D-печать стоматология открывает новые возможности для создания идеальных зубных протезов», — говорит Жиленко Евгений Александрович, Хирург-имплантолог.

    Технология Преимущества
    3D-печать Высокая точность, индивидуальность, эстетика
    CAD/CAM Скорость, точность, совместимость с имплант-системами

    Применение в ортодонтии

    Наша лаборатория использует современные технологии, включая 3D-печать, для создания высококачественных зубных протезов.

    Зубные имплантаты

    Использование 3D-печати в стоматологии позволяет создавать индивидуальные имплантаты с высокой точностью. Мы работаем по STL/PLY и принимаем заказы через личный кабинет, что упрощает процесс создания протезов.

    • Совместимы с основными имплант-системами
    • Высокая точность создания протезов
    • Ускорение процесса создания протезов
    Важно: при создании имплантатов необходимо учитывать индивидуальные особенности пациента, поэтому мы работаем в тесном сотрудничестве с врачами.

    Стоматологическое протезирование

    3D-печать стоматология позволяет создавать протезы с высокой эстетикой и функциональностью. Мы используем технологии Exocad/Exoplan и CAD/CAM для создания индивидуальных протезов.

    Технология Преимущества
    3D-печать Высокая точность, ускорение процесса
    CAD/CAM Индивидуальное проектирование, высокая точность

    «3D-печать стоматология — это будущее стоматологического протезирования», — говорит Жиленко Евгений Александрович, Хирург-имплантолог.

    Чтобы начать работать с нами, просто загрузите STL/сканы и укажите систему имплантов/артикулятор в своем заказе. Мы согласуем оттенок (Vita/3D-Master) и срок изготовления с вами. Оформите задание через заказ-наряд уже сегодня!

    Будущее 3D-печати

    Smile Studio изготавливает работы исключительно для клиник и врачей. Наша лаборатория оснащена современным технологическим стеком, включая Exocad/Exoplan, CAD/CAM, 3D-печать и фрезеровку.

    Развитие технологий

    3D-печать стоматология — это область, которая быстро развивается. Мы наблюдаем значительный прогресс в области материалов и точности печати. Это позволяет создавать более реалистичные и долговечные зубные протезы.
    Важно: при выборе лаборатории обратите внимание на совместимость с основными имплант-системами и возможность работы с STL/PLY файлами.

    • Принимаем заказы через личный кабинет
    • Совместимы с основными имплант-системами
    • Работаем с STL/PLY файлами

    Перспективы

    Перспективы 3D-печати в стоматологии выглядят очень перспективными. Мы ожидаем дальнейшего развития технологий, что позволит создавать еще более совершенные зубные протезы.

    «3D-печать революционизирует стоматологию, позволяя создавать индивидуальные протезы с высокой точностью», — говорит Жиленко Евгений Александрович, Хирург-имплантолог.

    Чтобы начать работать с нами, просто загрузите STL/сканы и укажите систему имплантов/артикулятор. Мы согласуем оттенок (Vita/3D-Master) и срок изготовления.

    Сравнение 3D-печати и фрезеровки

    Несмотря на то, что фрезеровка обеспечивает более высокую точность, 3D-печать выигрывает в скорости и доступности. Выбор технологии зависит от клинической задачи и бюджета пациента.

    Параметр 3D-печать Фрезеровка
    Точность до 0,1 мм до 0,05 мм
    Материалы Полимеры, композиты Цирконий, металл
    Стоимость Ниже Выше
    Скорость Быстро Средне

    Заключение

    3D-печать в стоматологии открывает новые горизонты в создании зубных протезов — от повышения точности и эстетики до сокращения сроков изготовления. В лаборатории Smile Studio мы используем современные цифровые технологии: CAD/CAM, Exocad, Exoplan, DSD-моделирование, чтобы обеспечить нашим партнёрам — стоматологическим клиникам и врачам — надежный результат при каждом заказе.Благодаря многоуровневому контролю качества, полной цифровой интеграции и индивидуальному подходу мы гарантируем:

    • точную посадку и прикус,
    • совместимость с основными имплант-системами,
    • быструю и стабильную логистику.

    Мы сотрудничаем только с клиниками и врачами. Чтобы начать работу:

    1. Загрузите STL/PLY-файлы в личный кабинет
    2. Укажите систему имплантов и артикулятор
    3. Согласуйте оттенок (Vita / 3D-Master) и сроки изготовления

    Оформите заказ уже сегодня — и получите технологически совершенные зубные протезы, соответствующие высоким стандартам цифрового протезирования.

    Будущее стоматологии — в точных и индивидуальных решениях.
    Smile Studio — ваш цифровой зуботехнический партнёр в Москве.

    🤔 Не нашли ответа? Запишитесь на консультацию — мы подскажем, как избежать ошибок в лечении.

    Оформить заказ

    Для оформления заказа заполните форму, и мы обязательно свяжемся с вами

      Расширенный заказ

      Другие материалы