Современные виниры: преимущества и недостатки — взгляд лаборатории Smile Studio
Мы — лаборатория Smile Studio. Мы изготавливаем зуботехнические изделия по заказам клиник и врачей. Устанавливают их ваши доктора. Современные виниры — один из ключевых продуктов Smile Studio для эстетической реабилитации. Мы проектируем их в цифровой среде, подбираем оттенок и текстуру эмали, а затем фрезеруем или прессуем из актуальных материалов. Поэтому новая улыбка выглядит естественно, а посадка — точна. Если вы готовы к изготовлению — оформите заказ через страницу «заказ-наряд»: прикрепите сканы, отметьте материал и срок.
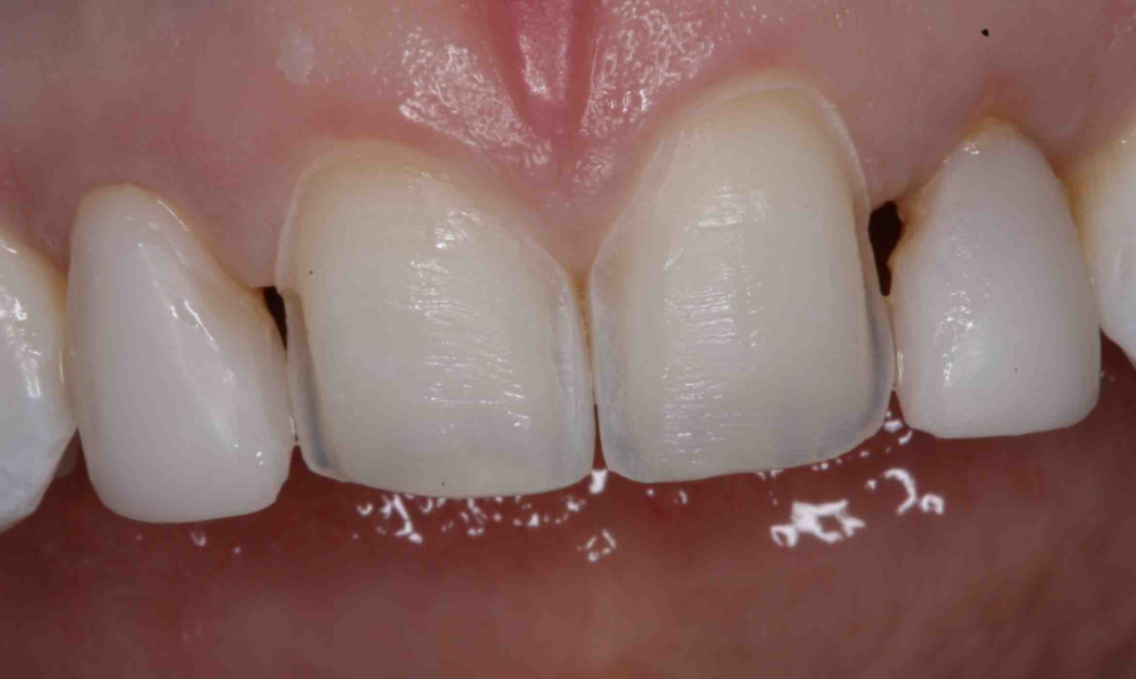
Современные виниры: что это и для кого
Винир — тонкая накладка на фронтальный зуб. Он закрывает трещины, изменяет цвет и корректирует форму. Современные виниры выращивают из литий-дисиликатной керамики (E.max), диоксида циркония или композитов.
Мы закрываем технологию и точность; врач ведёт диагностику, определяет показания и устанавливает работы.
Какие задачи решает лаборатория
- Точная посадка и край: адаптация по плечу и межзубным контактам.
- Оттенок: Vita/3D-Master, индивидуальная стратификация.
- Цифровое моделирование: Exocad, экспорт STL/PLY.»
- Контроль толщины: 0,3–0,5 мм в пределах эмали при минимальном препарировании.
- Логистика: понятные сроки и упаковка с паспортом изделия.

«В цифровом модуле мы сразу видим толщину и риск просвечивания. Это экономит визиты и время врача», —
Аброков Ислам Асланович, специалист по цифровому моделированию, Smile Studio.
Материалы и технологии: от модели до готового винира
Мы делаем керамические виниры, а также композитные виниры под отдельные клинические задачи.
Цифровой протокол исключает случайность и снижает переработки.
Материалы: E.max, цирконий и композит
- E.max (литий-дисиликат): высокая оптика, естественная транслуцентность, точная посадка после прессования или фрезеровки.
- Транслуцентный диоксид циркония: повышенная прочность при парафункциях; глубина света ниже, чем у E.max.
- Композитные решения: щадящая цена, быстрые сроки; подходят для временных задач и молодого возраста.
Цифровое проектирование (CAD/CAM)
Моделируем форму, режущий край и папиллы с учётом улыбочной линии. Затем печатаем мастер-модель и проводим примерку.

«Стабильная окклюзия важнее самого материала. Правильная высота режущего края снижает сколы и жалобы», —
Курочкин Константин, ортопед, гнатолог.
Как лаборатория и врач делят роли
Современные виниры — результат командной работы. Мы берём на себя цифровое моделирование, выбор материала и точность посадки. Врач отвечает за диагностику, препарирование, примерку и цементировку. Такой раздел обязанностей сокращает переделки и делает сроки предсказуемыми.
Преимущества и ограничения: честный разбор
Современные виниры дают быстрый визуальный эффект, но у них есть ограничения. Ниже — коротко и по делу.
Плюсы
- Естественная эстетика и микротекстура под возраст пациента.
- Минимальное препарирование в пределах эмали.
- Стабильность цвета: кофе и чай менее критичны для E.max.
- Прогнозируемость: цифровой мокап, примерка, понятные сроки.
Однако есть нюансы. При активном бруксизме без ночной каппы, при крупных пломбах на фронте или при глубоком резцовом перекрытии стоит рассмотреть коронки или условно-съёмные конструкции.
Минусы
- Нужна гигиена и контроль окклюзии.
- Не закрывают выраженные разрушения — для этого нужна коронка.
- Риск скола при бруксизме без защитной каппы.
- Стоимость выше композитов, хотя долговечность тоже выше.
«Многие боятся, что накладка будет заметна. Мы подбираем опак и текстуру так, чтобы зуб “дышал” светом», —
Ларюшин Леонид, ортопед.
Мифы и реальность
Факт. При правильной стратификации их отличит только ортопед. Мы подбираем микрорельеф и “меловатость”.
Факт. Врач работает с эмалью: препаровка минимальна, анестезия по показаниям.
Факт. При скрежете зубов, глубоком прикусе или крупных пломбах врач подберет иной план (коронки, каппы, сплинты).
«Металл для каркасов коронок уместен при больших дефектах, но для фронта мы чаще советуем керамику — она чище по оптике», —
Лихачёв Владимир Александрович, специалист по литью металлов.
Примеры из практики: как мы работаем для клиник
Кейс 1. «Серые тени» на резцах
Клиника в Москве прислала сканы. Пациентке 34 года мешал серый оттенок на 1.1 и 2.1. Мы спроектировали ультратонкие накладки E.max 0,4 мм, вывели край по режущей кромке, заложили микрорельеф. Врач посадил композиционным цементом с теплым оттенком. Через неделю пациентка написала: «Улыбаюсь чаще, зубы как свои».
Кейс 2. Восстановление формы у молодого пациента
Пациент 22 года скалывал края при спорте. Врач запросил вариант с повышенной прочностью. Мы изготовили транслуцентный цирконий с минимальным окрашиванием и каппу-ночник.
Результат: ровный контур, снижен риск скола.
Кейс 3. Работа «под камеру»
Пациент — телеведущий. Задача: обновить улыбку, но «без лампы-софита». Мы сделали фарфоровые виниры E.max с теплой эмалью А1/А2 mix и мягкой матовостью. Камеры «простили» свет.

Сравнение материалов для виниров
| Материал | Эстетика | Прочность | Толщина | Минимальная препарция | Устойчивость к пятнам | Комментарий |
|---|---|---|---|---|---|---|
| E.max (литий-дисиликат) | Очень высокая | Высокая | 0,3–0,7 мм | Да, в эмали | Высокая | Оптика близка к натуральной эмали |
| Диоксид циркония (прозрачный) | Высокая | Очень высокая | 0,4–0,8 мм | Да | Очень высокая | Хорош при парафункциях и сколах |
| Композит | Средняя | Средняя | 0,3–0,5 мм | Да | Средняя | Доступно, удобно для временных задач |
Металлокерамика vs. цирконий (для коронок в зоне улыбки)
Иногда врачу нужно сочетать виниры и коронки. Тогда важно понимать оптику коронок.
| Параметр | Металлокерамика | Диоксид циркония |
|---|---|---|
| Светопроницаемость | Ниже, возможен серый край | Выше, мягкий переход |
| Биосовместимость | Высокая | Очень высокая |
| Риск серого края | Возможен | Минимальный |
| Подходит для фронта | Условно | Да, особенно высокотранслуцентные |
«Для фронта лучше работает керамика без металла. Пациенты это видят сразу — зуб светится, а не “гасит” свет», —
Зайцев Иван Сергеевич, специалист по условно-съёмному протезированию.
Написать нам в лабораторию
Для оформления заказа заполните форму, и мы обязательно свяжемся с вамиСъёмный протез vs. условно-съёмная конструкция (когда винира мало)
| Критерий | Съёмный протез | Условно-съёмная конструкция |
|---|---|---|
| Комфорт | Средний | Высокий |
| Фиксация | На слизистой/кламмерах | На имплантах |
| Эстетика | Хорошая | Очень высокая |
| Уход | Ежедневный съём | Профессиональный контроль |
Эта таблица нужна, когда эстетическая задача шире одного зуба. В таком случае Современные виниры — часть комбинированного плана.
Как мы добиваемся естественности
- Стратификация и текстуры. Мы создаем микроямочки, мамелоны и нюансируем блеск.
- Персональный оттенок цемента. Цвет цемента влияет на финальный тон.
- Фотопротокол. Просим врача приложить фото при дневном свете и во рту.
- Пробная примерка. Печатаем мокап — пациент видит форму до препаровки.
«Гигиена — фундамент. Щетка средней жёсткости, ирригатор и регулярный профгигиенический приём продлевают срок службы ламинатов», —
Нагиева Фериде, гигиенист.
Показания и ограничения: кратко и практично
Показания: изменение цвета, закрытие диастем, коррекция формы и длины, сколы, «усталый» край.
Ограничения: крупные реставрации на фронте, активный бруксизм без каппы, плохая гигиена, острые воспаления.
Современные виниры особенно хороши при сохранной эмали и стабильной окклюзии. Если эмали мало — врач рассмотрит коронки.
Стоимость и экономия в долгую
Цена зависит от материала и сложности. Однако важно другое: прогноз и ресурс.
E.max и цирконий служат дольше композита и сохраняют оттенок. Поэтому они часто выгоднее на дистанции 5–10 лет.
Частые вопросы от клиник и пациентов
Будет ли видно, что это накладка?
При правильной стратификации — нет. Мы подбираем прозрачность и бороздки как на соседних зубах.
Треснет ли винир от яблока?
Нет, при нормальной окклюзии и толщине. Но не стоит открывать зубами упаковки.
Можно ли на имплантах?
Винир — для зубов. На имплант чаще ставят коронку. Зато винир отлично соседствует с имплантной ортопедией.
Отзывы партнёров и пациентов
— д-р Елена Петрова, ортопед, 41 год.
— Ирина, 34 года.
— д-р Данилов Сергей, хирург-ортопед, 45 лет.
Уход и долговечность
- Чистите дважды в день.
- Используйте флосс/ершики.
- Носите ночную каппу при бруксизме.
- Раз в 6 месяцев — профгигиена и контроль у врача.

Современные виниры служат дольше в паре с правильным уходом. Это как с кожей: нужен уход, чтобы блеск не ушёл.
Фотопротокол для точного оттенка
Чтобы современные виниры точно совпали по тону, пришлите:
- фото с серой картой при дневном свете;
- крупный план фронта в окклюзии и в улыбке;
- номер по Vita/3D-Master и комментарий врача о желаемой теплоте тона.
Так мы заранее просчитаем опаку и цемент.

Как оформить заказ-наряд в Smile Studio
- Перейдите на страницу «заказ-наряд».
- Загрузите STL/PLY и фото (улыбка, прикус, оттенок по Vita/3D-Master).
- Выберите материал: E.max, цирконий или композит.
- Укажите сроки и контакт для согласований.
- Получите подтверждение и паспорт изделия.
Современные виниры упаковываем в индивидуальный бокс с маркировкой и рекомендациями для цементировки (по ТЗ врача).
Практические советы: как выбрать материал
- Если ключ — оптика и «голливуд без софита» — керамические виниры E.max.
- Если парафункции — рассмотрите цирконий + защитная каппа.
- Если нужен бюджет и быстрый запуск — композит на короткий срок.
- Если пациент просит «как листочками на зубы» — объясните про стоматологические ламинаты: тонко, но не для всех.
Эстетические накладки — инструмент, а не цель. Цель — улыбка, которая вписывается в лицо и привычки.
Совет от Smile Studio: начните с цифрового мокапа. Пациент увидит форму, а вы подтвердите окклюзионные контакты до препарирования — современные виниры лягут точнее, а визитов станет меньше.
Современные виниры: кратко
Современные виниры — тонкие накладки для зоны улыбки. Они дают естественную эстетику при минимальной препарации. Мы проектируем их в цифре и изготавливаем из E.max, циркония или композита — под задачу и срок клиники.
Вывод: когда выбирать Современные виниры
Выбирайте Современные виниры, когда эмаль сохранна, ожидается стабильная окклюзия и пациент хочет естественный эффект без «театральной» белизны. Мы, со своей стороны, обеспечим технологию: цифра, материалы, текстура и точность. Врач — диагностику и посадку.
Готовы к проекту? Оформите «заказ-наряд» и приложите сканы — мы сделаем остальное.
FAQ для администраторов клиник
- Как ускорить согласование оттенка? Присылайте фото с серой картой и номер по Vita/3D-Master.
- Сколько держать мокап? До согласования формы — пациент “примеряет” улыбку и дает обратную связь.
- Что входит в паспорт? Материал, оттенок, партия, дата, ФИО техника, рекомендации.
Контроль качества
Каждый винир проходит микроскопию, фотопротокол и финальную подгонку на мастер-модели. Мы фиксируем этапы и храним протокол. Это снижает ошибки и упрощает доработки, если пациент просит «чуть мягче край» или «чуть теплее тон».
Mini-case: редизайн улыбки без препаровки
Пациентка 28 лет, диастема 0,8 мм. Врач просил вариант без препаровки. Мы сделали стоматологические ламинаты из E.max 0,3 мм с матовым блеском. После примерки пациентка согласилась на микрошлифовку эмали по краю для контактов. Результат — закрытая щель и мягкий свет без «лампы».
Коммуникация с врачами
Проводим Zoom-согласования формы и оттенка. Прикладываем трейсы, скриншоты из Exocad и видео вращения будущего зуба. Кроме того, на этапе оттенка предлагаем сэмплы по группе, чтобы пациент «увидел» улыбку на столе, а не в фантазии.
Риски и как их снизить
- Бруксизм? — каппа и корректная высота.
- Активный налёт? — гигиена и мотивация.
- Старые пломбы? — возможно, коронки вместо виниров.
- Спешка по срокам? — согласуйте оттенок и форму до фрезеровки.
Документы и упаковка
Мы даем паспорт изделия и памятку по цементировке (для врача). В коробке — вкладка с QR на фотопротокол. Это удобно для истории случая и обучения ассистента.
🤔 Не нашли ответа? Запишитесь на консультацию — мы подскажем, как избежать ошибок в лечении.